大人の矯正は、
赤嶺歯科クリニックで。
目立ちにくく、
通院負担を抑えるマウスピース矯正
次回の矯正日
令和7年10月20日 月
令和7年10月25日 土
令和7年11月05日 水
無料相談&モニター募集実施中!
赤嶺歯科クリニックのサイトを見て相談に来ました。
とお伝えください。
担当医紹介
担当医紹介
担当医紹介
矯正担当医(非常勤)
瀬川 憂樹 Yuki Segawa
インビザラインブラックダイヤモンドプロバイダー認定(年間400症例以上)
- 2017年 道内最年少でのゴールド・プロバイダー達成
- 2018年 日本最速&最年少でのプラチナ・プロバイダー達成
- 2019年 北海道唯一のプラチナ・エリートプロバイダー達成
- 2020年 北海道唯一のダイヤモンドプロバイダー達成
- 2022、2023年 北海道唯一のブラックダイヤモンドプロバイダー達成
インビザライン社の評価制度において、ブラックダイヤモンドプロバイダー(年間400症例以上)を取得しております。
また瀬川先生は歯科医師向け講習の講師を務め、TVCM・経済誌等での取材協力・解説にも携わっています。
世界の約1%歯科与えられないトッププロバイダーズやインビザライン社の長期症例評価指標であるライフタイムアチーブメントも受賞しています。
沖縄県内でもインビザラインブラックダイヤモンドプロバイダー認定ドクターのマウスピース矯正治療を受けることが可能となりました。
LEON矯正会連携
(全国84拠点)
引っ越し後も
継続しやすい
当院はLEON矯正会(全国80拠点以上)と提携しています。
万が一のお引っ越しや長期出張があっても、情報を安全に引き継いで治療を継続できるのが大きな特長です。
矯正担当医(非常勤) 瀬川 憂樹 Yuki Segawa
インビザラインブラックダイヤモンドプロバイダー認定(年間400症例以上)
2017年 道内最年少でのゴールド・プロバイダー達成
2018年 日本最速&最年少でのプラチナ・プロバイダー達成
2019年 北海道唯一のプラチナ・エリートプロバイダー達成
2020年 北海道唯一のダイヤモンドプロバイダー達成
2022、2023年 北海道唯一のブラックダイヤモンドプロバイダー達成
LEON矯正会連携(全国84拠点) 引っ越し後も継続しやすい
当院はレオン矯正会と提携しており月に1回インビザライン矯正相談を行っております。
沖縄県内でもインビザラインブラックダイヤモンドプロバイダー認定ドクターの
マウスピース矯正治療を受けることが可能となりました。
ワイヤーの問題を解決
ワイヤーの問題を解決
ワイヤーの問題を解決

※マウスピース矯正は全ての症例に対応できるわけではございません。
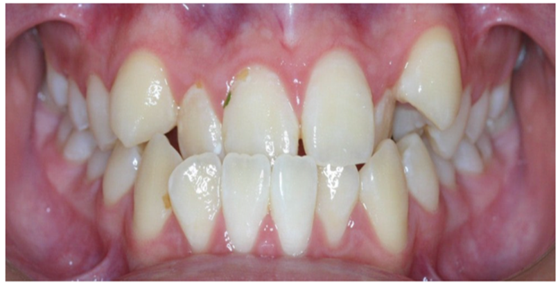
こんな症状にも対応
こんな症状にも対応
こんな症状にも対応
free
開咬
過蓋咬合
叢生
上顎前突
(出っ歯)
反対咬合
(受け口)
空隙歯列
(すきっ歯)
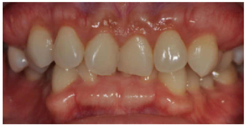
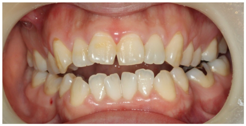
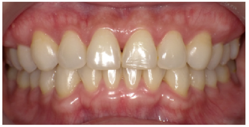
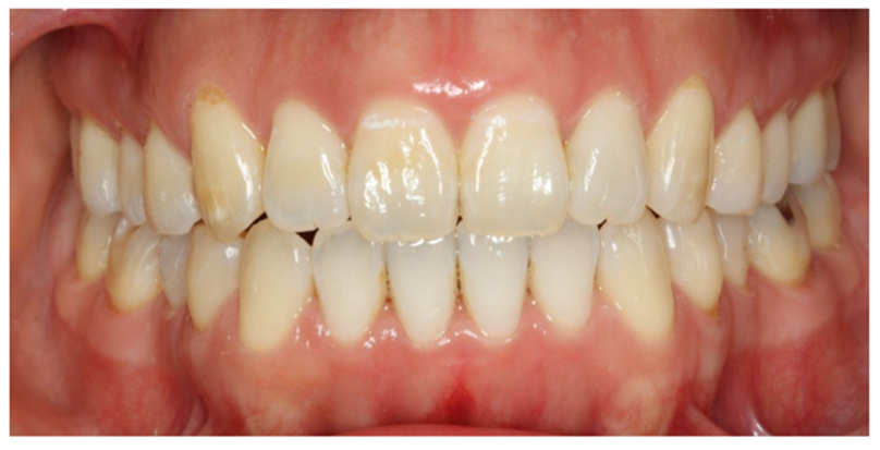
症例
症例
症例
金額:88万円(税込)
※症例によっては、抜歯や歯を削る(IPR)を行う場合があります。
※症例によっては会話や飲食がしにくくなる場合があります。
金額:88万円(税込)
※症例によっては、抜歯や歯を削る(IPR)を行う場合があります。
※症例によっては会話や飲食がしにくくなる場合があります。
金額:88万円(税込)
※症例によっては、抜歯や歯を削る(IPR)を行う場合があります。
※症例によっては会話や飲食がしにくくなる場合があります。
治療の流れ
治療の流れ
治療の流れ
インビザライン無料相談
来院していただき無料相談を受けられる場合は横並びの状態を診察させていただき治療期間や治療費の目安等をご説明いたします。
精密診断
インビザライン矯正担当医とお話しして更に詳しい歯並びのシミュレーションを受ける場合は口腔内スキャナーにて歯並びをスキャンさせていただき精密診断へ進みます。
治療開始
精密診断にて歯並びのシミュレーション結果をご説明させていただき治療期間、治療費を説明した上でご納得いただいてから治療開始となります。
費用ついて
費用ついて
費用とお支払方法について
free
| 項目 | 金額 |
|---|---|
| 初診カウンセリング | 無料 |
| インビザライン診療 | 3,000円 + TAX |
| インビザライン装置料 (成人用) |
800,000円 + TAX |
| インビザライン装置料 (前歯だけの矯正) |
450,000円 + TAX |
| インビザライン装置料 (小児用) |
400,000円 + TAX |
| ※抜歯1本につき | 5,000円 + TAX |
| 再診料 | 【成人5,000円 + TAX】 【小児3,000円 + TAX】 |
| リテーナー(保定装置) | 無料 |
現金/クレジット/分割/エポスデンタルクレジット
| インビザライン装置料(成人用)880,000円 | 月々約17,000円 | 60回払い |
|---|---|---|
| インビザライン装置料(前歯だけの矯正)495,000円 | 月々約9,500円 | 60回払い |
| インビザライン装置料(小児用)440,000円 | 月々約8,400円 | 60回払い |
治療費のお支払いはデンタルクレジットもご利用いただけます。
エポスデンタルクレジットは低金利でお支払い回数96回まで可能です。
デンタルクレジットを利用することで月々の治療費負担を少なく
インビザライン矯正をはじめることができます。
お申し込みはスマホで完結、審査結果は最短15分
<お支払い例>
インビザライン装置料(成人用)880,000円 月々約17,000円 60回払い
インビザLIght装置料(前歯だけの矯正)495,000円 月々約9,500円 60回払い
インビザ・ファースト装置料(小児用)440,000円 月々約8,400円 60回払い
詳しいお支払い例はこちらをクリック
医療費控除
free
| 課税総所得金額 | 1年間で支払った医療費の総額 | 医療費控除額 |
|---|---|---|
| 500万円 | 88万円 | 23万4千円 |
医療費控除 簡易計算ツール
インビザラインQ&A
インビザラインQ&A
インビザラインQ&A
A1日20時間以上の装着が必要です。
Aマウスピース矯正は取り外し可能です。飲食時は取り外して通常通り飲食できます。
Aエポスのデンタルクレジットで分割支払いが可能です。詳しくはリンク先をご確認ください。
A透明に近く目立ちにくいので一般的に装着していてもほとんど気付かれることはありません。
A痛覚に関しては個人差はありますが、マウスピース型矯正装置は段階的に少しずつ歯を動かしながら矯正するので痛みは少ないと思います。
A基本的に年齢の制限はありません。歯周病の状態などによっては不可となる場合がございます。
A叢生(乱ぐい歯)、交叉咬合、下顎前突(受け口)、口ゴボ、空隙歯列(すきっ歯)、過蓋咬合、開咬、前歯の叢生などが治療対象です。
A矯正で歯を移動した後に安定させ、後戻りを防ぐ装置です。タイプにはワイヤー型とマウスピース型があります。
A一般的には1〜2ヶ月に一回の通院となります。
Aお子様の歯並びの矯正はインビザライン・ファーストで可能です。


























