こどもの歯科検診をした時に大きな虫歯を発見することがありますが意外と
何も症状を訴えないことが多いです。
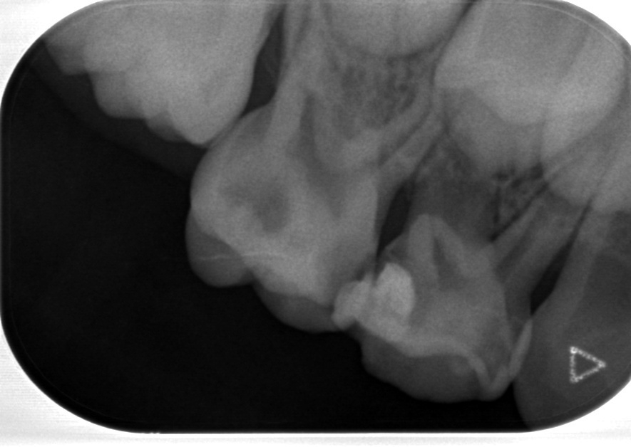
下記のレントゲン写真のようにう蝕(虫歯)が歯の歯髄(神経)とかなり近接して
いる場合でも無症状だったりします。

大人であれば神経にこのぐらい近接している虫歯であれば冷たいものがしみたり
食事の時に痛みが出たりします。
子供は痛みに鈍感なこともあるのである日突然痛みを訴えて歯科医院を受診し
大きな虫歯が発見されることがあります。
そこで親御さんからよくいただく質問ですが症状がない虫歯なのに麻酔の注射は
治療に必要なのですか?という質問です。
もちろん注射が好きな子供はいませんので必要なければ無麻酔で行いますが大きい
虫歯の場合大人と同様に削るときは痛みを伴うことがあります。
痛みを訴えた場合子供は治療を嫌がって顔や体を動かしたり治療を拒否してしまう
ことがありその場合きちっと虫歯を取ることが出来なくなる場合があります。
なので必要な場合は麻酔を使って治療したほうが安全かつ確実に行えると思います。
お子さんに麻酔をするときは麻酔の前に表面麻酔を用いて細い針を使いなるべく刺入時
に痛みを感じないよう工夫をしております。


























